He tenido el placer de colaborar con Straumann en la publicación de uno de mis casos clínicos dentro de su sección de experiencias clínicas con implantes Axiom X3® de Anthogyr.
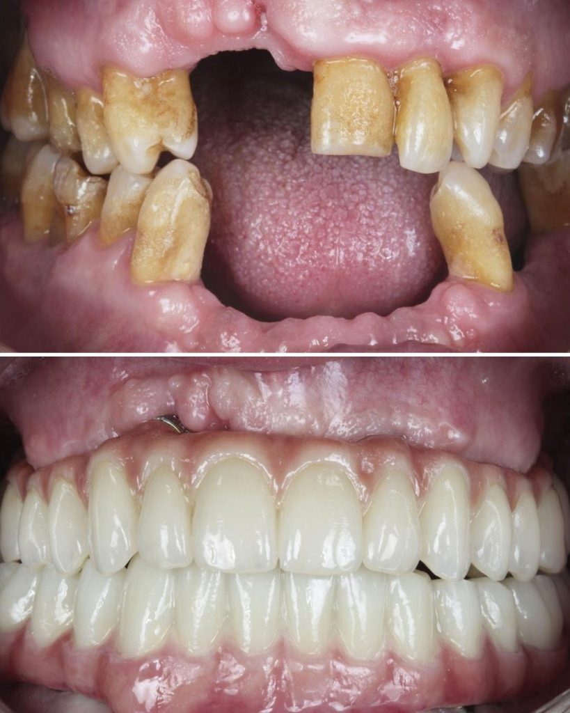
Se trata de una rehabilitación oral completa en un paciente con una situación periodontal avanzada, donde se combinó cirugía post-extracción, implantología y un flujo de trabajo completamente digital, con el objetivo de recuperar función, estética y salud periimplantaria a largo plazo.
Más allá del resultado final, este caso refleja una forma de trabajar basada en la planificación precisa, la selección adecuada del sistema implantológico y la importancia del diseño del implante en la estabilidad de los tejidos.
Puedes leer el caso clínico completo, con las imágenes del tratamiento, en la web oficial de Straumann:
Leer caso clínico publicado por Straumann: rehabilitación completa con Axiom X3®