Estoy encantado de compartir que uno de mis casos clínicos, en concreto Implante postextracción en molar inferior mediante flujo digital y cirugía guiada: maximizando preservación de tejidos y perfiles de emergencia, fue recientemente publicado en la revista El Dentista Moderno y presentado en la pasada feria Expodental 2026 en Madrid.
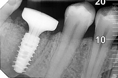
En este artículo, describo cómo utilizamos un enfoque innovador para la colocación de implantes postextracción, combinando cirugía guiada y flujo digital para mejorar la precisión, la estética y la preservación de los tejidos.
El uso de tecnología avanzada en el tratamiento permitió no solo una colocación precisa del implante, sino también una integración más rápida y un perfil de emergencia adecuado para el paciente. Además, sistemas como Healfit de Anthogyr jugaron un papel crucial en la cicatrización de los tejidos blandos, garantizando resultados funcionales y estéticos a largo plazo.
Este artículo refleja cómo la integración de flujos de trabajo digitales está revolucionando la implantología, permitiendo que los tratamientos sean más rápidos, predecibles y menos invasivos.
Me siento muy agradecido por la oportunidad de compartir este avance con la comunidad dental.